Зона Б19 бл. 15-16 вх. А, София,България

Вашата усмивка е нашата мисия!

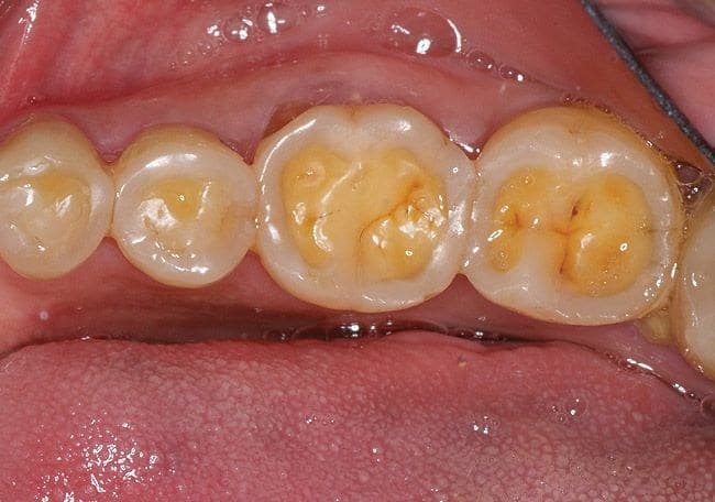
Киселините в храните и напитките

Честият прием на киселинни храни и напитки – като безалкохолни напитки, цитрусови сокове, спортни напитки и туршии – може да увреди зъбите ви с течение на времето. Киселините в тези продукти омекотяват и разтварят външния защитен слой на емайла, който поддържа зъбите ви здрави.
След като емайлът започне да се износва, зъбите могат да станат по-чувствителни, по-слаби и по-склонни към кариеси и козметични промени като пожълтяване или неравни повърхности. Тъй като емайлът не може да се възстанови, ерозията е постоянна и може да се влоши, ако навиците не се променят.
Защитата на зъбите ви е проста: ограничете киселинните закуски, използвайте сламка за киселинни напитки, изплаквайте с вода след това и изчакайте поне 30 минути преди да си миете зъбите. Малките ежедневни избори могат да помогнат за запазване на здрава усмивка за цял живот.
Съвет от специалистите:
Избягвайте да приемате на малки глътки през целия ден газирани напитки, защото по този начин ще имате високо нива на киселинност в устата за дълъг период от денонощието, което неимоверно ще увреди емайла на зъбите ви.
Стремете се да изпиете определена газирана напитка в рамките на половин до един час. Така нормалната киселинност в устата ще се възстанови максимално бързо.
lunabet güncel giriş lunabet giriş lunabet lunabet giriş lunabet padişahbet güncel giriş padişahbet giriş padişahbet padişahbet giriş padişahbet padişahbet giriş padişahbet padişahbet güncel giriş padişahbet giriş padişahbet padişahbet güncel giriş padişahbet giriş padişahbet padişahbet giriş padişahbet galabet güncel giriş galabet giriş galabet galabet güncel giriş galabet giriş galabet elexbet betcio betcio güncel giriş betcio giriş betcio betcio giriş betcio holiganbet güncel giriş holiganbet giriş holiganbet holiganbet jojobet güncel giriş jojobet giriş jojobet jojobet jojobet güncel giriş jojobet giriş jojobet jojobet galabet galabet holiganbet güncel giriş holiganbet giriş holiganbet holiganbet jojobet güncel giriş jojobet giriş jojobet jojobet jojobet güncel giriş jojobet giriş jojobet jojobet holiganbet güncel giriş holiganbet giriş holiganbet holiganbet jojobet güncel giriş jojobet giriş jojobet jojobet holiganbet güncel giriş holiganbet giriş holiganbet holiganbet holiganbet güncel giriş holiganbet giriş holiganbet holiganbet holiganbet güncel giriş holiganbet giriş holiganbet holiganbet holiganbet güncel giriş holiganbet giriş holiganbet holiganbet kingroyal güncel giriş kingroyal giriş kingroyal kingroyal kingroyal giriş kingroyal kingroyal jojobet güncel giriş jojobet giriş jojobet jojobet holiganbet güncel giriş holiganbet giriş holiganbet holiganbet pusulabet güncel giriş pusulabet giriş pusulabet pusulabet pusulabet güncel giriş pusulabet giriş pusulabet pusulabet holiganbet güncel giriş holiganbet giriş holiganbet holiganbet jojobet güncel giriş jojobet giriş jojobet jojobet jojobet güncel giriş jojobet giriş jojobet jojobet jojobet güncel giriş jojobet giriş jojobet jojobet holiganbet holiganbet güncel giriş holiganbet giriş holiganbet holiganbet güncel giriş holiganbet giriş holiganbet holiganbet jojobet güncel giriş jojobet giriş jojobet jojobet holiganbet güncel giriş holiganbet giriş holiganbet holiganbet betovis güncel giriş betovis giriş betovis betovis lunabet güncel giriş lunabet giriş lunabet lunabet kavbet güncel giriş kavbet giriş kavbet kavbet holiganbet güncel giriş holiganbet giriş holiganbet holiganbet extrabet güncel giriş extrabet giriş extrabet galabet güncel giriş jojobet güncel giriş jojobet giriş jojobet jojobet lunabet güncel giriş lunabet giriş lunabet lunabet holiganbet güncel giriş holiganbet giriş holiganbet holiganbet matbet güncel giriş matbet giriş matbet matbet lunabet güncel giriş lunabet giriş lunabet lunabet pusulabet güncel giriş pusulabet giriş pusulabet pusulabet holiganbet güncel giriş holiganbet giriş holiganbet holiganbet lunabet güncel giriş lunabet giriş lunabet lunabet jojobet güncel giriş jojobet giriş jojobet jojobet giriş jojobet pusulabet güncel giriş pusulabet giriş pusulabet pusulabet holiganbet güncel giriş holiganbet giriş holiganbet holiganbet lunabet güncel giriş lunabet giriş lunabet lunabet casibom bonus casibom mobil casibom güncel giriş casibom giriş casibom casibom güncel giriş casibom giriş casibom holiganbet güncel giriş holiganbet giriş holiganbet holiganbet holiganbet güncel giriş holiganbet giriş holiganbet holiganbet holiganbet güncel giriş holiganbet giriş holiganbet holiganbet jojobet güncel giriş jojobet giriş jojobet jojobet holiganbet güncel giriş holiganbet giriş holiganbet holiganbet güncel giriş holiganbet giriş holiganbet holiganbet holiganbet güncel giriş holiganbet giriş holiganbet holiganbet holiganbet güncel giriş holiganbet giriş holiganbet holiganbet holiganbet güncel giriş holiganbet giriş holiganbet holiganbet holiganbet güncel giriş holiganbet giriş holiganbet holiganbet holiganbet güncel giriş holiganbet giriş holiganbet holiganbet holiganbet güncel giriş holiganbet giriş holiganbet holiganbet holiganbet güncel giriş holiganbet giriş holiganbet holiganbet holiganbet güncel giriş holiganbet giriş holiganbet holiganbet Kralbet Kralbet güncel giriş Kralbet giriş Kralbet Kralbet güncel giriş Kralbet giriş Kralbet Kralbet giriş Kralbet kingroyal güncel giriş kingroyal giriş kingroyal kingroyal ikimisli güncel giriş ikimisli giriş ikimisli gobahis güncel giriş gobahis giriş gobahis gobahis vaycasino güncel giriş vaycasino giriş vaycasino vaycasino holiganbet güncel giriş holiganbet giriş holiganbet holiganbet tipobet güncel giriş tipobet giriş tipobet tipobet matbet güncel giriş matbet giriş matbet matbet jojobet güncel giriş jojobet giriş jojobet jojobet cratosroyalbet güncel giriş cratosroyalbet giriş cratosroyalbet cratosroyalbet jojobet güncel giriş jojobet giriş jojobet jojobet marsbahis güncel giriş marsbahis giriş marsbahis marsbahis jojobet güncel giriş jojobet giriş jojobet jojobet matbet güncel giriş matbet giriş matbet matbet matbet güncel giriş matbet giriş matbet matbet matbet güncel giriş matbet giriş matbet matbet jojobet güncel giriş jojobet giriş jojobet jojobet elexbet güncel giriş elexbet giriş elexbet cratosroyalbet güncel giriş cratosroyalbet giriş cratosroyalbet pusulabet güncel giriş pusulabet giriş pusulabet pusulabet elexbet güncel giriş elexbet giriş elexbet jojobet güncel giriş jojobet giriş jojobet jojobet jojobet güncel giriş jojobet giriş jojobet jojobet jojobet güncel giriş jojobet giriş jojobet jojobet jojobet güncel giriş jojobet giriş jojobet jojobet pusulabet güncel giriş pusulabet giriş pusulabet pusulabet jojobet güncel giriş jojobet giriş jojobet jojobet elitcasino güncel giriş elitcasino giriş elitcasino elitcasino güncel giriş elitcasino giriş elitcasino jojobet güncel giriş jojobet giriş jojobet jojobet sahabet güncel giriş sahabet giriş sahabet sahabet jojobet güncel giriş jojobet giriş jojobet jojobet jojobet güncel giriş jojobet giriş jojobet jojobet matbet matbet güncel giriş matbet giriş matbet pusulabet güncel giriş pusulabet giriş pusulabet pusulabet jojobet güncel giriş jojobet giriş jojobet jojobet jojobet güncel giriş jojobet giriş jojobet jojobet grandpashabet güncel giriş grandpashabet giriş grandpashabet grandpashabet jojobet güncel giriş jojobet giriş jojobet jojobet sahabet güncel giriş sahabet giriş sahabet sahabet sahabet güncel giriş sahabet giriş sahabet sahabet cratosroyalbet güncel giriş cratosroyalbet giriş cratosroyalbet cratosroyalbet jojobet jojobet güncel giriş jojobet giriş jojobet jojobet güncel giriş jojobet giriş jojobet jojobet jojobet güncel giriş jojobet giriş jojobet jojobet pusulabet güncel giriş pusulabet giriş pusulabet pusulabet jojobet güncel giriş jojobet giriş jojobet jojobet matbet güncel giriş matbet giriş matbet matbet jojobet güncel giriş jojobet giriş jojobet jojobet jojobet güncel giriş jojobet giriş jojobet jojobet jojobet güncel giriş jojobet giriş jojobet jojobet jojobet güncel giriş jojobet giriş jojobet jojobet jojobet güncel giriş jojobet giriş jojobet jojobet holiganbet güncel giriş holiganbet giriş holiganbet holiganbet mavibet güncel giriş mavibet giriş mavibet jojobet güncel giriş jojobet giriş jojobet jojobet mavibet güncel giriş mavibet giriş mavibet mavibet mavibet mavibet güncel giriş mavibet giriş mavibet matbet güncel giriş matbet giriş matbet matbet jojobet güncel giriş jojobet giriş jojobet jojobet jojobet jojobet güncel giriş jojobet giriş jojobet jojobet güncel giriş jojobet giriş jojobet jojobet pusulabet güncel giriş pusulabet giriş pusulabet pusulabet jojobet güncel giriş jojobet giriş jojobet jojobet jojobet güncel giriş jojobet giriş jojobet jojobet casibom güncel giriş casibom giriş casibom betcio betcio giriş güncel betcio güncel giriş giriş betcio güncel giriş betcio güncel giriş betcio giriş betcio betcio güncel giriş betcio giriş betcio betcio güncel giriş betcio giriş betcio jojobet güncel giriş jojobet giriş jojobet jojobet giriş jojobet jojobet güncel giriş jojobet giriş jojobet jojobet giriş jojobet jojobet jojobet güncel giriş jojobet giriş jojobet jojobet giriş jojobet jojobet jojobet güncel giriş jojobet giriş jojobet jojobet giriş jojobet holiganbet güncel giriş holiganbet giriş holiganbet holiganbet sahabet güncel giriş sahabet giriş sahabet sahabet sahabet güncel giriş sahabet giriş sahabet sahabet holiganbet güncel giriş holiganbet giriş holiganbet holiganbet holiganbet güncel giriş holiganbet giriş holiganbet holiganbet meritking giriş güncel meritking güncel meritking güncel giriş meritking giriş onwin güncel giriş onwin giriş onwin onwin jojobet güncel giriş jojobet giriş jojobet jojobet holiganbet güncel giriş holiganbet giriş holiganbet holiganbet casibom güncel giriş casibom giriş casibom galabet güncel galabet giriş güncel galabet güncel giriş galabet giriş galabet galabet güncel giriş galabet giriş galabet jojobet güncel giriş jojobet giriş jojobet jojobet giriş jojobet holiganbet güncel giriş holiganbet giriş holiganbet holiganbet jojobet güncel giriş jojobet giriş jojobet jojobet grandpashabet güncel giriş grandpashabet giriş grandpashabet padişahbet güncel giriş padişahbet giriş padişahbet padişahbet bets10 güncel giriş bets10 giriş bets10 bets10 casibom güncel giriş casibom giriş casibom padişahbet güncel giriş padişahbet giriş padişahbet padişahbet giriş padişahbet holiganbet güncel giriş holiganbet giriş holiganbet holiganbet jojobet güncel giriş jojobet giriş jojobet jojobet jojobet güncel giriş jojobet giriş jojobet jojobet giriş jojobet matbet güncel giriş matbet giriş matbet matbet holiganbet güncel giriş holiganbet giriş holiganbet holiganbet sahabet güncel giriş sahabet giriş sahabet sahabet holiganbet güncel giriş holiganbet giriş holiganbet holiganbet holiganbet güncel giriş holiganbet giriş holiganbet holiganbet jojobet güncel giriş jojobet giriş jojobet jojobet jojobet güncel giriş jojobet giriş jojobet jojobet matbet güncel giriş matbet giriş matbet matbet pusulabet güncel giriş pusulabet giriş pusulabet pusulabet matbet güncel giriş matbet giriş matbet matbet mavibet güncel giriş mavibet giriş mavibet mavibet sahabet güncel giriş sahabet giriş sahabet sahabet meritking güncel giriş meritking giriş meritking bets10 güncel giriş bets10 giriş bets10 bets10 meritking güncel giriş meritking giriş meritking holiganbet holiganbet güncel giriş holiganbet giriş holiganbet matbet güncel giriş matbet giriş matbet matbet matbet pusulabet güncel giriş pusulabet giriş pusulabet pusulabet holiganbet güncel giriş holiganbet giriş holiganbet galabet güncel giriş galabet giriş galabet galabet galabet casibom güncel giriş casibom giriş casibom jojobet güncel giriş jojobet giriş jojobet jojobet bets10 güncel giriş bets10 giriş bets10 bets10 holiganbet güncel giriş holiganbet giriş holiganbet holiganbet jojobet güncel giriş jojobet giriş jojobet jojobet sahabet güncel giriş sahabet giriş sahabet sahabet holiganbet güncel giriş holiganbet giriş holiganbet holiganbet bets10 güncel giriş bets10 giriş bets10 bets10 jojobet güncel giriş jojobet giriş jojobet jojobet jojobet güncel giriş jojobet giriş jojobet jojobet jojobet güncel giriş jojobet giriş jojobet jojobet holiganbet güncel giriş holiganbet giriş holiganbet holiganbet jojobet güncel giriş jojobet giriş jojobet jojobet iptv iptv satin al iptv satin al iptv matbet güncel giriş matbet giriş matbet matbet romabet güncel giriş romabet giriş romabet romabet casibom güncel giriş casibom giriş casibom casibom güncel giriş casibom giriş casibom lunabet güncel giriş lunabet giriş lunabet lunabet casibom güncel giriş casibom giriş casibom holiganbet güncel giriş holiganbet giriş holiganbet holiganbet holiganbet güncel giriş holiganbet giriş holiganbet holiganbet galabet güncel giriş galabet giriş jojobet güncel giriş jojobet giriş jojobet jojobet matbet güncel giriş matbet giriş matbet matbet casibom güncel giriş casibom giriş casibom holiganbet güncel giriş holiganbet giriş holiganbet holiganbet grandpashabet güncel giriş grandpashabet giriş grandpashabet grandpashabet grandpashabet galabet güncel galabet giriş galabet casibom güncel giriş casibom giriş casibom holiganbet güncel giriş holiganbet giriş holiganbet holiganbet holiganbet güncel giriş holiganbet giriş holiganbet holiganbet jojobet jojobet güncel giriş jojobet giriş jojobet jojobet jojobet jojobet güncel giriş jojobet giriş jojobet jojobet grandpashabet güncel giriş grandpashabet giriş grandpashabet grandpashabet güncel giriş grandpashabet giriş grandpashabet jojobet jojobet güncel giriş jojobet giriş jojobet jojobet casibom güncel giriş casibom giriş casibom galabet güncel giriş galabet giriş galabet jojobet jojobet güncel giriş jojobet giriş jojobet jojobet giriş jojobet iptv satin al iptv casibom güncel giriş casibom giriş casibom casibom güncel giriş casibom giriş casibom meritking giriş meritking güncel giriş meritking galabet güncel giriş galabet güncel galabet giriş meritking casibom jojobet güncel giriş jojobet giriş jojobet jojobet jojobet güncel giriş jojobet giriş jojobet jojobet casibom güncel giriş casibom giriş casibom galabet güncel galabet giriş galabet galabet güncel giriş galabet güncel galabet giriş galabet casibom jojobet jojobet güncel giriş jojobet giriş jojobet jojobet giriş jojobet jojobet jojobet güncel giriş jojobet giriş jojobet jojobet giriş jojobet casibom güncel giriş casibom giriş casibom jojobet güncel giriş jojobet giriş jojobet jojobet jojobet güncel giriş jojobet giriş jojobet jojobet casibom güncel giriş casibom giriş casibom casibom güncel giriş casibom giriş casibom jojobet giriş jojobet güncel hiltonbet güncel giriş hiltonbet giriş hiltonbet hiltonbet casibom güncel giriş casibom giriş casibom casibom güncel giriş casibom giriş casibom casibom güncel giriş casibom giriş casibom galabet güncel galabet giriş galabet güncel giriş galabet giriş galabet galabet marsbahis marsbahis marsbahis güncel giriş marsbahis giriş marsbahis marsbahis güncel giriş marsbahis giriş marsbahis jojobet güncel giriş jojobet giriş jojobet jojobet jojobet güncel giriş jojobet giriş jojobet jojobet jojobet güncel giriş jojobet giriş jojobet jojobet jojobet güncel giriş jojobet giriş jojobet jojobet jojobet güncel giriş jojobet giriş jojobet jojobet jojobet jojobet güncel giriş jojobet giriş jojobet jojobet güncel giriş jojobet giriş jojobet jojobet jojobet güncel giriş jojobet giriş jojobet jojobet jojobet güncel giriş jojobet giriş jojobet jojobet jojobet giriş jojobet jojobet güncel giriş jojobet giriş jojobet jojobet jojobet güncel giriş jojobet giriş jojobet jojobet jojobet güncel giriş jojobet giriş jojobet jojobet jojobet güncel giriş jojobet giriş jojobet jojobet jojobet jojobet güncel giriş jojobet giriş jojobet jojobet giriş jojobet güncel giriş jojobet giriş jojobet jojobet jojobet güncel giriş jojobet giriş jojobet jojobet jojobet casibom güncel giriş casibom giriş casibom pusulabet güncel giriş pusulabet giriş pusulabet pusulabet güncel giriş pusulabet giriş pusulabet pusulabet güncel giriş pusulabet giriş pusulabet jojobet güncel giriş jojobet giriş jojobet jojobet jojobet güncel giriş jojobet giriş jojobet jojobet jojobet güncel giriş jojobet giriş jojobet jojobet casibom casibom güncel giriş casibom giriş casibom matbet güncel giriş matbet giriş matbet matbet jojobet güncel giriş jojobet giriş jojobet jojobet jojobet güncel giriş jojobet giriş jojobet jojobet pusulabet güncel giriş pusulabet giriş pusulabet pusulabet casibom güncel giriş casibom giriş casibom galabet güncel galabet giriş galabet galabet giriş galabet giriş galabet galabet galabet giriş galabet giriş galabet jojobet jojobet holiganbet güncel giriş holiganbet giriş holiganbet holiganbet jojobet güncel giriş jojobet giriş jojobet galabet giriş galabet galabet güncel giriş galabet giriş galabet güncel galabet holiganbet güncel giriş holiganbet giriş holiganbet holiganbet